症例紹介
カテゴリー:
矯正歯科
ワイヤー矯正(28歳・男性)

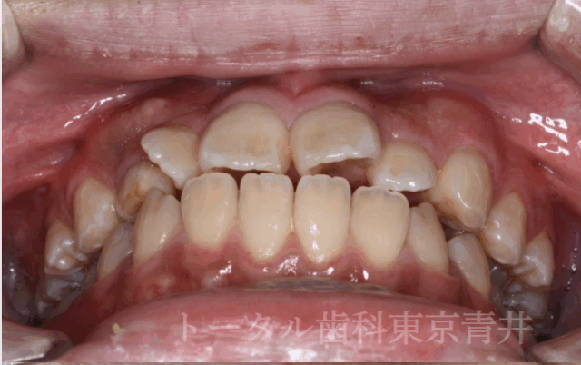
Before

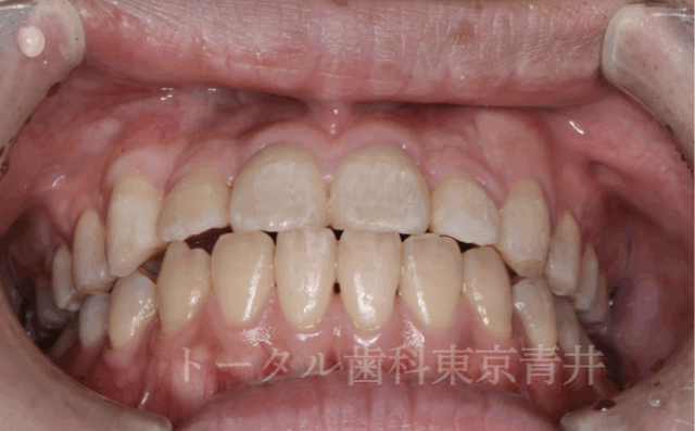
After
症例情報
| 症状 | 大人の歯が骨に埋まっている |
|---|---|
| 年齢・性別 | 28歳・男性 |
| 治療期間・回数 | 2年6か月 |
| 治療方法 | ワイヤー矯正 |
| 費用 | 検査と診断¥33,000 ワイヤー矯正¥880,000 |
| 治療前の注意点 | 痛みが出る場合があります |
| 備考 | ご希望 前歯のガタガタを治したい |
カテゴリー:

Before

After
| 症状 | 大人の歯が骨に埋まっている |
|---|---|
| 年齢・性別 | 28歳・男性 |
| 治療期間・回数 | 2年6か月 |
| 治療方法 | ワイヤー矯正 |
| 費用 | 検査と診断¥33,000 ワイヤー矯正¥880,000 |
| 治療前の注意点 | 痛みが出る場合があります |
| 備考 | ご希望 前歯のガタガタを治したい |




